抑郁症是一种常见的精神疾病,也是全球残疾的主要原因之一,其治疗至今仍面临巨大挑战。现有抗抑郁药物受困于血脑屏障的阻隔,往往存在起效延迟、系统副作用强及缓解率不理想等诸多局限。开发能够快速起效且精准入脑的新策略,是精神病学领域的迫切需求。“鼻-脑”递送路径为此提供了希望,它能让药物绕过血脑屏障,通过嗅觉神经直抵大脑。然而,传统鼻内制剂面临鼻腔滞留时间短、易被清除降解的瓶颈。与此同时,源自植物的细胞外囊泡作为一种天然纳米载体,因其良好的生物相容性和跨物种调节潜力,正成为药物递送的新宠。其中,富含生物活性物质的普通小球藻,其提取物已被报道具有缓解抑郁症状的潜力。
近期,浙江大学爱丁堡大学联合学院(ZJE)周民团队在国际细胞外囊泡学会(International Society for Extracellular Vesicles, ISEV)官方期刊Journal of Extracellular Vesicles上发表了其创新性研究成果“ Nose-to-Brain Delivery of Chlorella Vulgaris Extracellular Vesicles for Antidepressant Effects ”。

该研究首次将微藻来源的细胞外囊泡(EVs)与菊粉(IN)凝胶相结合,成功构建了一种名为EVs@IN的新型鼻脑递送系统,可有效快速缓解抑郁症状,为抑郁症的靶向治疗提供了全新的解决方案(图1)。

图1:鼻用微藻细胞外囊泡抗抑郁示意图
研究人员首先成功分离出具有典型杯状形态的EVs,这些囊泡可被星形胶质细胞和神经元有效摄取,且表现出良好的生物安全性。(图2)

图2:EVs@IN的制备与结构表征。
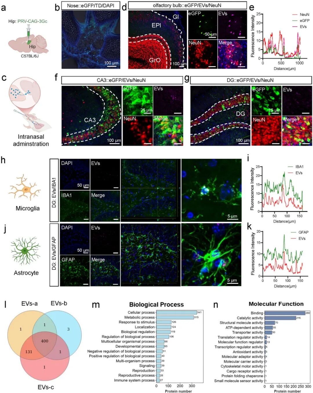
通过活体成像技术,研究团队揭示了该递送系统的独特优势。与单独EVs相比,新系统在鼻腔区域表现出更强且更持久的荧光信号,同时在脑内的富集程度更高,滞留时间延长至48小时。病毒示踪实验首次明确了“海马-嗅球-鼻腔”这一直达通路的解剖学基础,证实EVs可沿此通路分布至海马各亚区,被神经元和胶质细胞共同摄取。(图3,图4)

图3:鼻内给药后EVs@IN的生物分布。

图4:EVs可以直接进入大脑,通过鼻腔给药作用于神经胶质细胞或神经元。
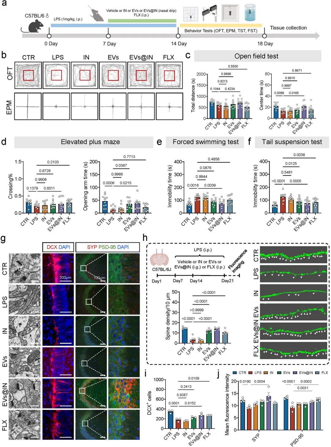
在LPS诱导的抑郁模型中,该治疗策略展现出显著的行为改善效果。研究显示,治疗组小鼠在旷场试验中的中心区域活动时间明显增加,在高架十字迷宫中的开臂探索时间延长,同时在强迫游泳和悬尾测试中的不动时间显著缩短,其效果优于游离EVs。深入研究揭示了该策略对神经可塑性的促进作用。治疗后,海马区树突棘密度显著增加,新生神经元数量上升,突触相关蛋白表达增强,透射电镜进一步证实了突触超微结构的改善。(图5)

图5: EVs@IN缓解LPS诱导的抑郁和焦虑样行为,并改善了突触可塑性。
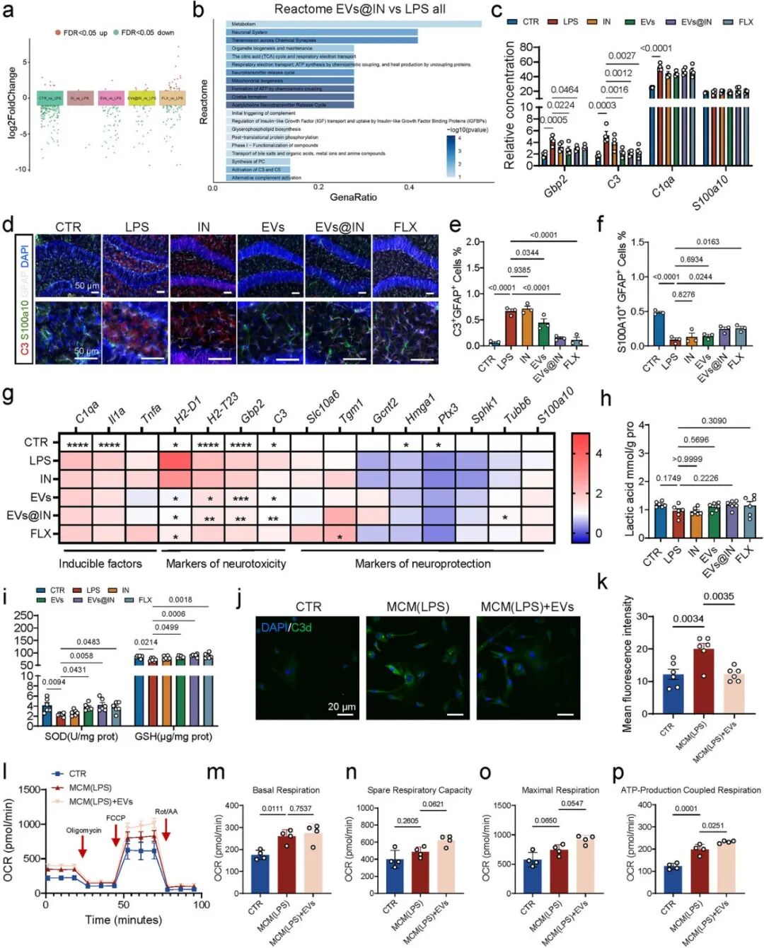
RNA测序分析发现,治疗组相比模型组有41个差异基因表达显著下调,其中补体C3的下降尤为突出。研究还发现,该策略能有效调控星形胶质细胞表型。治疗后,海马区C3+GFAP+的神经毒性星形胶质细胞比例显著降低,而S100A10+GFAP+的保护性星形胶质细胞数量明显上升。体外实验证实,EVs能够直接抑制C3+星形胶质细胞的生成,且这一作用不依赖于小胶质细胞的介导。在机制层面,该治疗显著提升了海马区内超氧化物歧化酶活性和谷胱甘肽水平,同时激活了Nrf2-Pgc-1α信号通路。细胞能量代谢分析显示,EVs处理增强了星形胶质细胞的ATP合成能力,提升了神经元的储备呼吸能力。(图6)

图6:EVs@IN参与星形胶质细胞亚型和关键功能补体系统的调节。
研究团队还用慢性不可预知温和应激模型(CUMS)进一步验证了EVs@IN的疗效。此外,研究还探索了该系统的载药潜力。通过超声辅助策略成功将模型药物装载入EVs,经鼻给药后在脑内检测到明显的荧光信号。长期安全性评估显示,连续一个月给药未引起任何血液学、生化指标或组织病理学的异常改变。(图7)

图7:EVs可以作为鼻脑递送的载体。
综上所述,该研究首次将植物源EVs与菊粉凝胶技术融合,构建了一种非侵入、脑靶向、缓释型的抗抑郁递送平台。它不仅突破了传统抗抑郁药在递送效率、起效速度和系统副作用方面的三大瓶颈,更作为一种平台技术,为阿尔茨海默病、帕金森病等其他神经系统疾病的靶向治疗提供了极具价值的范式参考。随着后续研究的深入开展与临床转化的推进,这项技术有望为神经精神疾病患者带来新的治疗策略。
论文第一作者为浙江大学博士生金康裕、王若溪和硕士生陈冰,ZJE周民教授和浙江大学医学院附属第一医院路静研究员为论文的通讯作者。上述研究得到了浙江大学鄂尔多斯鄂托克生物医药联合研究中心项目、国家重点研发计划、国家自然科学基金等基金项目的大力支持。
论文链接: https://doi.org/10.1002/jev2.70198




